Jak funguje rentgen?

Rentgen je diagnostická metoda, která využívá rentgenové záření k vytvoření obrazů vnitřních struktur těla. Tento neinvazivní postup je základem mnoha vyšetření, od zjišťování zlomenin až po detekci nádorů nebo plicních onemocnění. Pojďme se podívat na to, jak rentgenové záření funguje a jak vzniká obraz, který lékařům pomáhá v diagnostice.
Co je rentgenové záření?
Rentgenové záření je formou elektromagnetického záření podobného světlu, ale s mnohem vyšší energií. Vytváří se pomocí rentgenového zařízení, které generuje tento druh záření a vysílá ho na vyšetřovanou část těla. Rentgenové paprsky mají schopnost procházet materiály, které jsou pro běžné světlo neprůhledné, jako jsou kosti nebo tkáně. Tento průchod záření tělem umožňuje vytvoření obrazu vnitřních struktur.
Jak probíhá rentgenové vyšetření?
Rentgenové vyšetření obvykle probíhá v několika krocích. Pacient se svlékne do ochranného oděvu a odstraní kovové předměty. Během vyšetření zaujme požadovanou pozici a rentgenový přístroj vyšle paprsky na tělo, zatímco detektor zachytí obraz. Vyšetření trvá několik minut, přičemž lékař může požádat o opakování snímku.
Příprava pacienta: Pacient je vyzván, aby odložil oděv a předměty, které by mohly zkreslit snímek v oblasti vyšetřování. Pokud je pacientka těhotná, musí o tom informovat lékaře, protože rentgenové záření může být pro plod rizikové – v takovém případě se hledají alternativy.
Vysílání rentgenového záření: Rentgenový přístroj vysílá paprsky, které procházejí tělem pacienta. Na opačné straně je detektor nebo film, který zachytává projití paprsků.
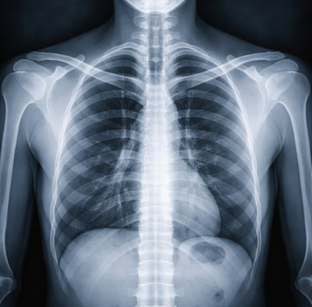
Získání obrazu: Různé tkáně absorbují záření v odlišné míře – kosti ho pohltí více než měkké tkáně, což vytváří kontrast na snímku. Tento princip umožňuje jasně vidět struktury těla, jako jsou kosti nebo orgány.
Interpretace výsledků: Snímek vyhodnotí radiolog a hledá abnormality, například zlomeniny, nádory nebo záněty. Na základě toho lékař stanoví diagnózu a navrhne další kroky.
Jaký je princip vzniku rentgenového obrazu?
Rentgenové záření je vysíláno z rentgenového tubusu, který generuje paprsky. Tyto paprsky procházejí tělem pacienta a jsou částečně absorbovány různými tkáněmi. Tuhé materiály, jako jsou kosti, se zobrazí na rentgenovém snímku jako světlé oblasti. Naopak měkké tkáně, jako svaly nebo orgány, se zobrazí jako tmavší oblasti.
Kde se rentgenové vyšetření používá?
Rentgenové vyšetření se používá v mnoha oblastech medicíny. Mezi nejběžnější patří diagnostika zlomenin kostí, vyšetření plicních onemocnění, jako je pneumonie nebo rakovina plic, a zubní rentgen pro vyšetření stavu zubů a kořenů. Dále se využívá při detekci nádorů, v onkologii, nebo při vyšetřování struktur vnitřních orgánů, což pomáhá lékařům při stanovení diagnózy a rozhodování o dalším postupu léčby.
Detekce zlomenin: Rentgen je nejčastěji používán pro zjištění zlomenin kostí. Vysoká hustota kostí způsobí, že se na snímku zobrazí jako bílé oblasti.
Vyšetření plic a hrudníku: Rentgen plic se používá k diagnostice onemocnění plic, jako je pneumonie, tuberkulóza nebo rakovina plic.
Dentální vyšetření: Rentgenové snímky se často používají v zubním lékařství pro vyšetření zubů, kořenů a kostí kolem zubů.
Onkologická diagnostika: Rentgenové snímky mohou také pomoci odhalit přítomnost nádorů v různých částech těla.
Výhody a omezení rentgenového vyšetření
Rentgenové vyšetření je rychlé, neinvazivní a široce dostupné. Má však i omezení, jako je riziko škodlivého vystavení záření, zejména pro těhotné ženy a děti. Dále nemusí poskytovat dostatečně detailní snímky pro zobrazení malých problémů, což může vyžadovat použití jiných metod, jako je MRI nebo CT.
Závěr
Rentgenové vyšetření je cenným nástrojem v diagnostice různých zdravotních problémů. Využívá schopnosti rentgenového záření procházet tělem a vytvářet obrazy, které lékařům umožňují vidět vnitřní struktury, jako jsou kosti nebo orgány. I když má své limity, jeho výhody ho činí neocenitelným nástrojem v moderní medicíně.
